
2008 DPDx Case Studies
DPDx Case Studies – 2008
December 2008
November 2008
October 2008

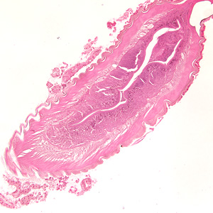
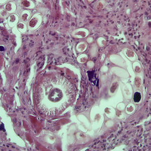
A 28-year-old man had loss of appetite, weight loss, and intermittent diarrhea approximately one week after attending a family reunion located on a farm in the mid-western U.S. He sought medical attention with his primary care provider who collected a stool specimen for ova and parasite (O&P) examination using a single-vial fixative system.
September 2008

A 25-year-old man returned from three months of studying abroad in southeast Asia. Countries he visited during his studies included the Philippines, Indonesia and Thailand. Shortly after returning to the United States, he presented to his health care provider with abdominal pain, cramps and diarrhea.
August 2008

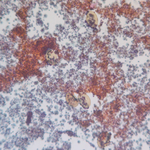
A 37-year-old man began experiencing severe diarrhea about one week after attending a family social event. At the request of his medical provider, a fecal specimen collected in the two-vial system consisting of one vial with 10% formalin and one vial with Zn-PVA (zinc-based polyvinyl alcohol) was submitted for examination.
July 2008
June 2008
May 2008
April 2008
March 2008
February 2008
January 2008
DPDx is an educational resource designed for health professionals and laboratory scientists. For an overview including prevention, control, and treatment visit www.cdc.gov/parasites/.




















