
Case #461 – February, 2018
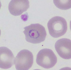
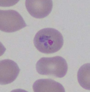
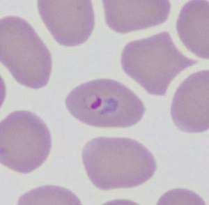
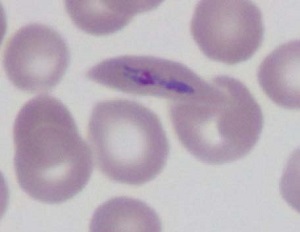
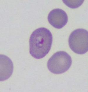
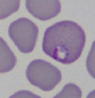
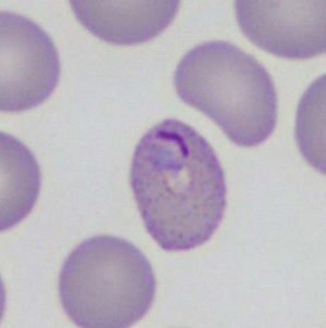
A 12-year-old boy, with symptoms of fever and chills after returning from a one month trip to an undisclosed West African country, was taken to a clinic for evaluation. It was determined that he had not taken any prophylactic medication for malaria prior to the trip. Blood smears were ordered, stained with Giemsa, and examined at 1000x magnification with oil at a pathology laboratory. Images were captured from a stained thin smear were sent to the DPDx Team for identification. Figures A – I show what was observed in some of the images submitted. What is your diagnosis? Based on what criteria?
This case and images were kindly provided by the Pennsylvania Department of Health.

Figure A

Figure B

Figure C

Figure D

Figure E

Figure F

Figure G

Figure H

Figure I
Images presented in the dpdx case studies are from specimens submitted for diagnosis or archiving. On rare occasions, clinical histories given may be partly fictitious.
DPDx is an educational resource designed for health professionals and laboratory scientists. For an overview including prevention, control, and treatment visit www.cdc.gov/parasites/.