
Case #426 – August 2016
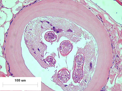
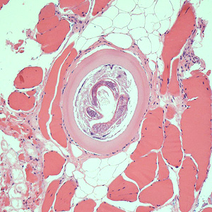
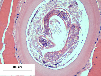
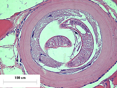
A hunter prepared dried jerky from fresh bear meat and provided some to a group of friends. Most developed moderate to severe abdominal pain, nausea, and fatigue within 48 hours. Some of the bear meat was submitted for laboratory testing. Images of stained histological sections of bear meat were sent to the DPDx Team for confirmation of parasites. Figures A and C were taken at 200x magnification; Figures B, D, and E were taken at 400x magnification. What is your diagnosis? Based on what criteria?

Figure A

Figure B

Figure C

Figure D

Figure E
These images were kindly provided by The Public Health Laboratory, Toronto, Ontario, Canada
DPDx is an educational resource designed for health professionals and laboratory scientists. For an overview including prevention, control, and treatment visit www.cdc.gov/parasites/.
