
Case #415 – March 2016
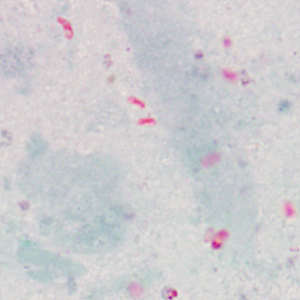
A 27-year-old HIV-positive male presented with abdominal pain and chronic diarrhea. He had a history of AIDS cholangiopathy. Recent microbiology results included bacteremia caused by Enterobacter species and sputum cultures positive for Mycobacterium avium-complex (MAC). During routine examination of Gram-stained bronchial alveolar lavage (BAL) specimens, suspect objects were observed by the attending technologist. Additional BAL material was stained with calcofluor white and Gram chromotrope, and the suspect objects were observed being positive for both. Images were captured of the BAL stained with Gram chromotrope (Figures A and B) and sent to the DPDx Team for diagnostic assistance. Additionally, the BAL specimen was forwarded on to the DPDx Team for additional work-up. The DPDx Team prepared a fresh smear from the BAL, stained with chromotrope 2R, and observed similar objects at 1000x with oil (Figures C and D), which measured approximately 2.0 micrometers in length. What is your diagnosis? Based on what criteria? What additional tests, if any, would you recommend?

Figure A

Figure B

Figure C

Figure D
This case and images, in part, were kindly provided by the University of Texas Health Science Center, San Antonio, TX.
DPDx is an educational resource designed for health professionals and laboratory scientists. For an overview including prevention, control, and treatment visit www.cdc.gov/parasites/.
