
Case #395 May 2015
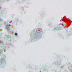
Stool specimens were collected from an asymptomatic 12-year-old boy from Myanmar as part of a refugee screening program. The stool was collected in 10% formalin and zinc PVA (Zn-PVA) and sent to the county health department for routine ova-and-parasite (O&P) examination. Figures A–D show what was observed at 1000x magnification with oil on a trichrome-stained slide made from stool preserved in Zn-PVA. The objects shown in Figures A–C measured 12-15 µm in length, on average; the object in Figure D measured 7 µm. What is your diagnosis? Based on what criteria?

Figure A

Figure B

Figure C

Figure D
Images presented in the DPDx case studies are from specimens submitted for diagnosis or archiving. On rare occasions, clinical histories given may be partly fictitious.
DPDx is an educational resource designed for health professionals and laboratory scientists. For an overview including prevention, control, and treatment visit www.cdc.gov/parasites/.