
Case #377 – August 2014
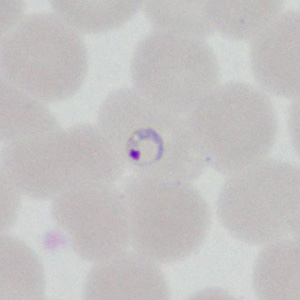
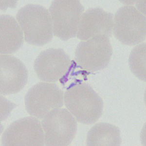
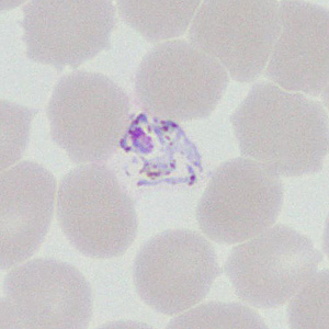
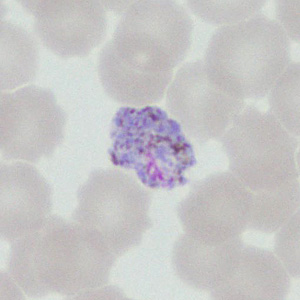
A 22-year-old man had a post-travel medical evaluation that included hematologic work-up after returning from an 11-day missionary trip to Honduras. Blood was collected in EDTA at a medical center and thin smears were prepared and stained for examination. The stained smears were forwarded on to the State Public Health Laboratory for confirmation for diagnostic assistance. Digital images were captured at 1000x magnification with oil by the attending microbiologist at the PHL and submitted to the DPDx Team for a telediagnosis consult. Figures A–H show eight of images that were sent for analysis. What is your diagnosis? Based on what criteria?

Figure A

Figure B

Figure C

Figure D

Figure E

Figure F

Figure G

Figure H
This case and images were kindly provided by the Pennsylvania Department of Health, Exton, PA.
Images presented in the DPDx case studies are from specimens submitted for diagnosis or archiving. On rare occasions, clinical histories given may be partly fictitious.
DPDx is an educational resource designed for health professionals and laboratory scientists. For an overview including prevention, control, and treatment visit www.cdc.gov/parasites/.