
Case #352 – July, 2013
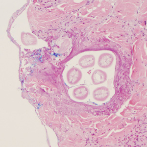
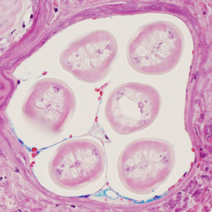
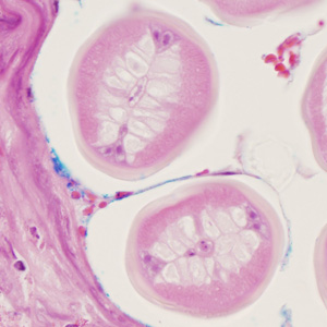
A 60-year-old Canadian presented to his health care provider with recurrent subcutaneous swellings in his posterior chest. The only travel outside of Canada reported in the last year was to Florida. Biopsy specimens were taken and sent to Pathology for routine histological work-up. Examination of slides stained with hematoxylin and eosin (H&E) revealed a coiled nematode approximately 60 micrometers in diameter (Figures A–D). What is your diagnosis? Based on what criteria? What other testing, if any, would you recommend?

Figure A

Figure B

Figure C

Figure D
This case and images were kindly provided by the Mayo Clinic, Rochester, MN and St. Martha’s Regional Hospital, Antigonish, Nova Scotia, Canada.
Images presented in the DPDx case studies are from specimens submitted for diagnosis or archiving. On rare occasions, clinical histories given may be partly fictitious.
DPDx is an educational resource designed for health professionals and laboratory scientists. For an overview including prevention, control, and treatment visit www.cdc.gov/parasites/.