
Case #282 – August, 2010
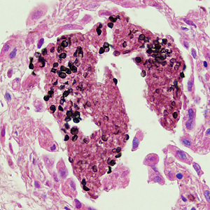
A 49-year-old man with AIDS was admitted to the hospital for complaints of a persisting fever and dry cough. A chest radiograph showed bilateral infiltrate. A sputum specimen was collected and stained with Giemsa, but no parasites were observed. A lung biopsy was obtained, sectioned, and stained with both methenamine silver and hematoxylin and eosin (H&E) stains. Figures A and B show what was observed at 500x magnification on one of the stained sections. What is your diagnosis? Based on what criteria?

Figure A

Figure B
Images presented in the DPDx case studies are from specimens submitted for diagnosis or archiving. On rare occasions, clinical histories given may be partly fictitious.
DPDx is an educational resource designed for health professionals and laboratory scientists. For an overview including prevention, control, and treatment visit www.cdc.gov/parasites/.