
Case #244 – January, 2009
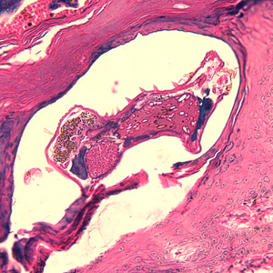
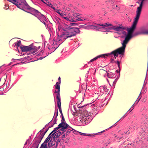
An 80-year-old resident of a long-term care facility presented with a skin condition manifesting as thick crusts over the skin accompanied by slight itching. The patient was originally treated for impetigo, with no resolution, and was ultimately admitted to the hospital for further testing. A skin biopsy was performed. The specimen was sectioned, stained with hematoxylin and eosin (H&E) and sent to a dermatopathologist for diagnostic assistance. Figures A–D show what was observed in the stained sections. Figures A and B were taken at 200x magnification. Figures C and D represent the same fields, respectively, taken at 400x magnification. What is your diagnosis? Based on what criteria?

Figure A

Figure B

Figure C

Figure D
Images presented in the DPDx case studies are from specimens submitted for diagnosis or archiving. On rare occasions, clinical histories given may be partly fictitious.
DPDx is an educational resource designed for health professionals and laboratory scientists. For an overview including prevention, control, and treatment visit www.cdc.gov/parasites/.
