
Case #157 – June, 2005
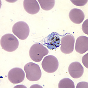
A 25-year-old woman with symptoms of intermittent fever, nausea, and headaches went to the emergency room with a temperature of 104º. She had worked and traveled in West Africa for the previous five months. Although she had taken antimalarial drugs while she was abroad, she ceased prophylaxis when she returned to the United States. While at the emergency room, the attending physician ordered a blood smear, which was stained with Wright-Giemsa and examined. Figures A-F show what was observed on the thin smear at 1000× magnification. What is your diagnosis? Based on what criteria?

Figure A

Figure B

Figure C

Figure D

Figure E

Figure F
This case was kindly contributed by the San Diego County Health and Human Services.
Images presented in the DPDx case studies are from specimens submitted for diagnosis or archiving. On rare occasions, clinical histories given may be partly fictitious.
DPDx is an educational resource designed for health professionals and laboratory scientists. For an overview including prevention, control, and treatment visit www.cdc.gov/parasites/.