
Case #478 – October, 2018
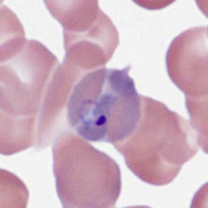
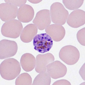
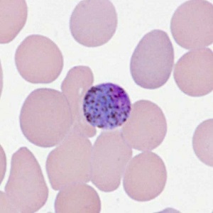
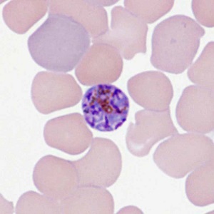
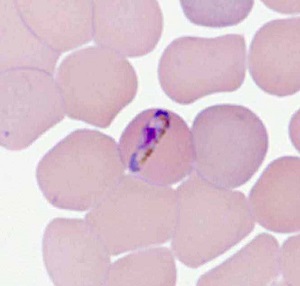
A 4-year-old boy returned from a summer vacation in Tanzania with his parents with symptoms of fever and chills. He was evaluated at a clinic in St. Louis, Missouri where blood smears were ordered, stained with Giemsa and examined at 1000x magnification with oil. Images captured from the stained thin smear were sent to the DPDx Team for identification. Figures A – F show what was observed in some of the images submitted. What is your diagnosis? Based on what criteria?
This case and images were kindly provided by the Missouri State Public Health Laboratory.

Figure A

Figure B

Figure C

Figure D

Figure E

Figure F
Images presented in the dpdx case studies are from specimens submitted for diagnosis or archiving. On rare occasions, clinical histories given may be partly fictitious.
DPDx is an educational resource designed for health professionals and laboratory scientists. For an overview including prevention, control, and treatment visit www.cdc.gov/parasites/.