
Case #432 – November, 2016
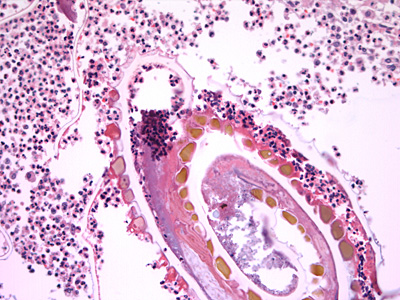
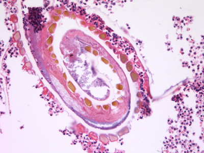
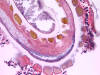
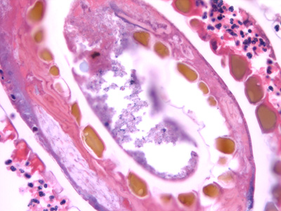
A 61- year-old man presented in 2015 with abdominal pain and was found to have a perforated sigmoid colon. Initial course notable for intra-abdominal collection, associated with the perforation, which was drained. Surgical procedures included sigmoid resection and diverting colostomy. A biopsied specimen revealed cancer and appropriate chemotherapy was administered for 7 months. No reported travel to rural areas or exposure to farm animals and only travel history outside the U.S. was to Canada and the Bahamas on a cruise 25 years ago. The patient has not eaten beef or pork for about 7 years, aside from a 2 month period in 2015 (while undergoing the cancer treatment). As an outpatient he was having carcinoembryonic antigen (CEA) levels monitored, and a recent increase prompted a positron emission tomography (PET) scan that revealed a liver lesion. He was admitted for a right liver lobe resection and a small incidental capsule nodule was noticed, removed and sent to pathology. Previous laboratory results included no evidence of eosinophilia. Figures A–F show what was observed on a hematoxylin and eosin stained section. Figures B and C were captured at 200x magnification; Figures D–F at 400x. What is your diagnosis? Based on what criteria?

Figure A

Figure B

Figure C

Figure D

Figure E

Figure F
Images presented in the dpdx case studies are from specimens submitted for diagnosis or archiving. On rare occasions, clinical histories given may be partly fictitious.
This case and images were kindly provided by The Hospital of the University of Pennsylvania.
DPDx is an educational resource designed for health professionals and laboratory scientists. For an overview including prevention, control, and treatment visit www.cdc.gov/parasites/.