
Case #398 – June 2015
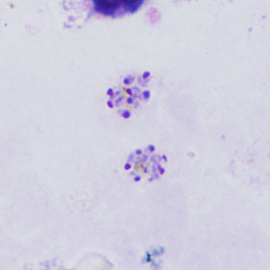
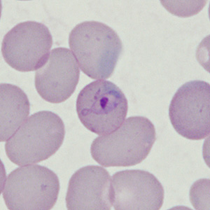
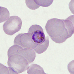
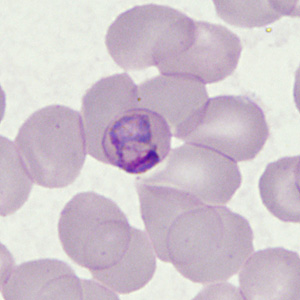
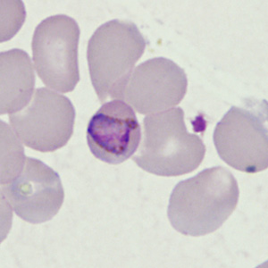
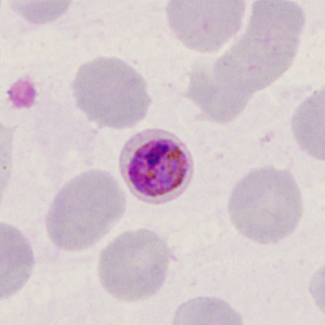
A 31-year-old construction worker, who did some contract work in Ghana for nine months, sought medical attention a few days after his return to the U.S. for recurring fever and chills. Although advised to take antimalarial prophylaxis prior to his detail, he admitted that he was not compliant with taking them as prescribed. Smears were made as ordered by the attending physician and stained with a rapid stain routinely used by the laboratory. Figures A and B show what was observed on a thick smear; Figures C–I show what was observed on a thin smear. All images were captured at 1000x magnification with oil. What is your diagnosis? Based on what criteria?









Images presented in the DPDx case studies are from specimens submitted for diagnosis or archiving. On rare occasions, clinical histories given may be partly fictitious.
DPDx is an educational resource designed for health professionals and laboratory scientists. For an overview including prevention, control, and treatment visit www.cdc.gov/parasites/.