
Case #394 – April 2015
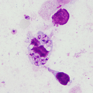
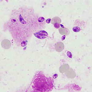
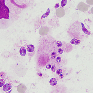
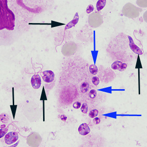
A 17-year-old female presented with a crusted nodule on her left cheek two months after traveling to Israel. She admitted to camping outdoors and being bitten by insects on her face during the trip. No other symptoms were noted. A biopsy was obtained from the periphery of the nodule, placed in a sterile vial with transport media, and sent to the CDC for diagnostic work-up. Upon receipt, a touch-prep smear was prepared, fixed with methanol, stained with Giemsa, and examined. Figures A–C show was observed at 1000x magnification with oil. What is your diagnosis? Based on what criteria? What other testing, if any, would you recommend?

Figure A

Figure B

Figure C
Images presented in the monthly case studies are from specimens submitted for diagnosis or archiving. On rare occasions, clinical histories given may be partly fictitious.
DPDx is an educational resource designed for health professionals and laboratory scientists. For an overview including prevention, control, and treatment visit www.cdc.gov/parasites/.
