
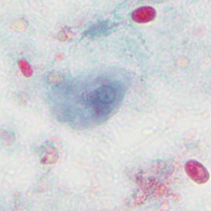
Case #376 – July 2014
A state health laboratory received stool specimens collected in in sodium acetate-acetic acid-formalin (SAF) for ova-and-parasite (O&P) examination. The patient was an immigrant, but his specific country of origin was not known. The stool was processed by formalin-ethyl acetate (FEA) concentration and trichrome staining. The attending microbiologist observed what she believed to be trophozoites of an Entamoeba species in both the wet mount from the FEA and the trichrome-stained smear; no cysts were observed. Digital images of the suspect amoebae were captured and sent to the DPDx Team for diagnostic assistance. Figure A shows what was observed in an unstained wet mount of the FEA concentrate; Figure B is also from the wet mount, but stained with iodine. Figures C and D show what was observed on the trichrome-stained slide. The objects ranged from 14-25 μm in length. What is your diagnosis? Based on what criteria? What other testing, if any, would you recommend?

Figure A

Figure B

Figure C

Figure D
This case and images were kindly provided by the Wisconsin State Laboratory of Hygiene, Madison, WI.
Images presented in the DPDx case studies are from specimens submitted for diagnosis or archiving. On rare occasions, clinical histories given may be partly fictitious.
DPDx is an educational resource designed for health professionals and laboratory scientists. For an overview including prevention, control, and treatment visit www.cdc.gov/parasites/.