
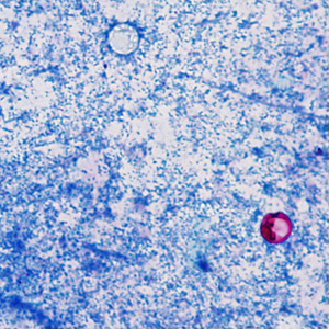
Case #374 – June 2014
A 34-year-old missionary worker sought medical attention for abdominal pain, nausea, and watery diarrhea after returning from visiting friends in Central America. A stool specimen was collected for laboratory testing and a modified Kinyoun’s acid-fast stained smear was prepared. An aliquot of the stool, along with the acid-fast stained smear, was sent to the CDC-DPDx laboratory for confirmatory testing. Figures A and B show what was observed in moderate numbers on the acid-fast stained smear at 500x magnification with oil. Figures C-F were taken at 400x magnification from a wet mount of the stool specimen. Figures C and E were taken using bright-field microscopy; Figures D and F represent the same fields, respectively, viewed using ultraviolet (UV) microscopy. The objects of interest measured 8-9 micrometers in diameter on average. What is your diagnosis? Based on what criteria?

Figure A

Figure B

Figure C

Figure D

Figure E
Images presented in the DPDx case studies are from specimens submitted for diagnosis or archiving. On rare occasions, clinical histories given may be partly fictitious.
DPDx is an educational resource designed for health professionals and laboratory scientists. For an overview including prevention, control, and treatment visit www.cdc.gov/parasites/.