
Case #357 – October, 2013
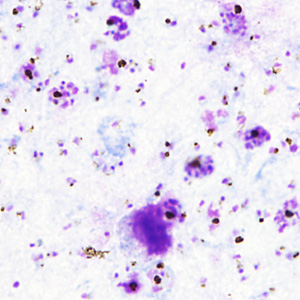
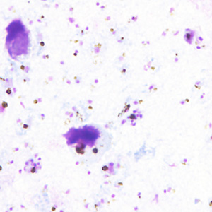
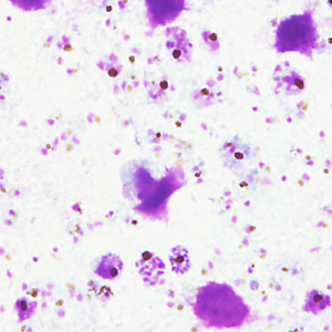
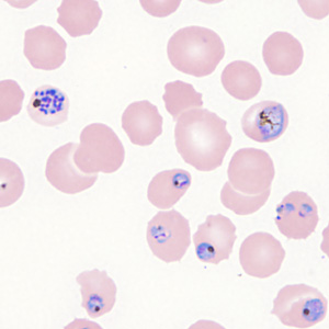
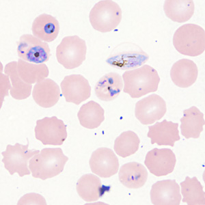
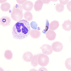
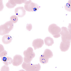
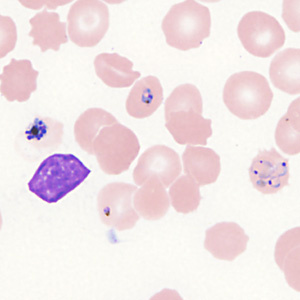
A 59-year-old man required emergency medical attention due to hyperpyrexia (>40° C/104° F), generalized convulsions, and signs of renal failure. The patient’s recent travel history was not available. Blood specimens were collected in EDTA for routine work up. In addition, STAT blood smears were ordered, stained with Wright stain, and examined. Figures A–I show what was observed at 1000x magnification. The images in Figures A–C were taken from a thick film; the images in Figures D–I were taken from a thin film. What is your diagnosis? Based on what criteria?

Figure A

Figure B

Figure C

Figure D

Figure E

Figure F

Figure G

Figure H

Figure I
Images presented in the DPDx case studies are from specimens submitted for diagnosis or archiving. On rare occasions, clinical histories given may be partly fictitious.
DPDx is an educational resource designed for health professionals and laboratory scientists. For an overview including prevention, control, and treatment visit www.cdc.gov/parasites/.