
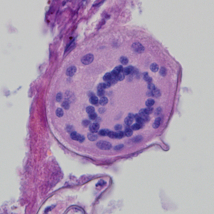
Case #324 – May, 2012
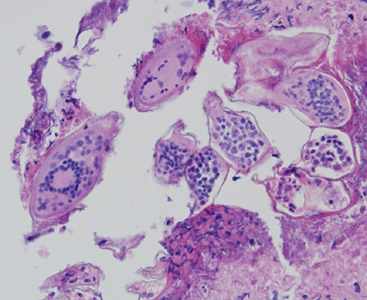
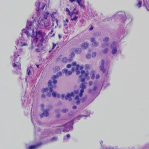
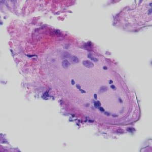
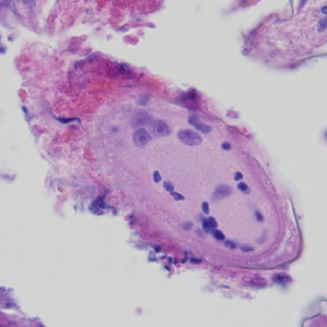
A 58-year-old female who had emigrated from Africa was seen by her health care provider for complications with squamous cell carcinoma of the cervix. CT scans of the pelvis revealed a small mass in the bladder. Biopsy specimens of the bladder and subsequent bladder washings were sent to Pathology for histological work-up. Microscopic examination of the specimens by the attending pathologist revealed structures suggestive of a parasite. Digital images were sent to the DPDx Team for diagnostic assistance. Figures A–D show what was observed in the biopsy specimens, stained with hematoxylin and eosin (H&E). Figures E and F show what was observed in the bladder washings, stained with Papanicolaou stain. The object in Figure E measured 150 micrometers in length. What is your diagnosis? Based on what criteria?

Figure A

Figure B

Figure C

Figure D

Figure E

Figure F
This case and images were kindly provided by the John H. Stroger Jr. Hospital of Cook County, Chicago, IL.
Images presented in the DPDx case studies are from specimens submitted for diagnosis or archiving. On rare occasions, clinical histories given may be partly fictitious.
DPDx is an educational resource designed for health professionals and laboratory scientists. For an overview including prevention, control, and treatment visit www.cdc.gov/parasites/.