
Case #322 – April, 2012
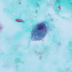
A 28-year-old man presented to his health care provider with intermittent diarrhea, mild abdominal cramping, and low-grade fever. Travel history included camping in the northwestern United States. Stool specimens were collected in formalin and polyvinyl alcohol (PVA) and sent to a commercial lab for ova-and-parasite (O&P) examination. Figures A and B show what was observed in moderate frequency on a trichrome-stained smear made from the PVA-preserved stool. The objects of interest measured 12-15 micrometers on average in length. The images were captured at 1000x magnification. What is your diagnosis? Based on what criteria?

Figure A

Figure B
Images presented in the DPDx case studies are from specimens submitted for diagnosis or archiving. On rare occasions, clinical histories given may be partly fictitious.
DPDx is an educational resource designed for health professionals and laboratory scientists. For an overview including prevention, control, and treatment visit www.cdc.gov/parasites/.