
Case #271 – March, 2010
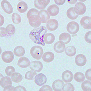
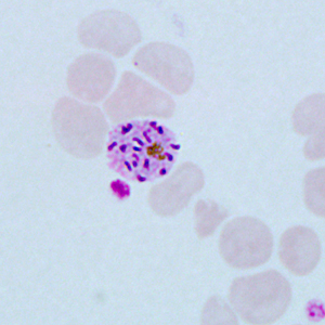
The DPDx Team received Giemsa-stained blood smears from a state health laboratory for malaria confirmation/identification. The patient travels internationally regularly for business, and within the month before becoming ill, had traveled to India, Malaysia and China. Figures A–F show what was observed on one of the thin smears sent to the CDC. What is your diagnosis? Based on what criteria?

Figure A

Figure B

Figure C

Figure D

Figure E

Figure F
Images presented in the DPDx case studies are from specimens submitted for diagnosis or archiving. On rare occasions, clinical histories given may be partly fictitious.
DPDx is an educational resource designed for health professionals and laboratory scientists. For an overview including prevention, control, and treatment visit www.cdc.gov/parasites/.