
Case #194 – December, 2006
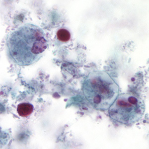
Images from a trichrome stained fecal smear were submitted to DPDx telediagnosis assistance from a public health laboratory. Parasites were suspected and further confirmation was needed. The patient was a 32-year-old male who had diarrhea; no travel history was known. The objects in Figures A-D were present in moderately high numbers; images were taken at 1000× magnification. What is your diagnosis? Based on what criteria?

Figure A

Figure B

Figure C

Figure D
Images presented in the DPDx case studies are from specimens submitted for diagnosis or archiving. On rare occasions, clinical histories given may be partly fictitious.
DPDx is an educational resource designed for health professionals and laboratory scientists. For an overview including prevention, control, and treatment visit www.cdc.gov/parasites/.


