
Case #192 – November, 2006
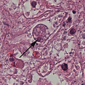
A request for confirmation of an identification was submitted to DPDx Telediagnosis Assistance. Figures A and B were captured from a hematoxylin and eosin (H & E) stained histological section of a liver abscess found during an autopsy. The patient had a travel history to Sri Lanka. What is your diagnosis? Based on what criteria?

Figure A

Figure B
This case was kindly contributed by the Oregon State Public Health Laboratory.
Images presented in the DPDx case studies are from specimens submitted for diagnosis or archiving. On rare occasions, clinical histories given may be partly fictitious.
DPDx is an educational resource designed for health professionals and laboratory scientists. For an overview including prevention, control, and treatment visit www.cdc.gov/parasites/.
