
Echinococcosis
[Echinococcus granulosus] [Echinococcus multilocularis] [Echinococcus oligarthrus] [Echinococcus vogeli]
Causal Agents
Human echinococcosis (hydatidosis, or hydatid disease) is caused by the larval stages of cestodes (tapeworms) of the genus Echinococcus. Echinococcus granulosus (sensu lato) causes cystic echinococcosis and is the form most frequently encountered. Another species, E. multilocularis, causes alveolar echinococcosis, and is becoming increasingly more common. Two exclusively New World species, E. vogeli and E. oligarthrus, are associated with “Neotropical echinococcosis”; E. vogeli causes a polycystic form whereas E. oligarthrus causes the extremely rare unicystic form.
Many genotypes of E. granulosus have been identified that differ in their distribution, host range, and some morphological features; these are often grouped into separate species in modern literature. The known zoonotic genotypes within the E. granulosus sensu lato complex include the “classical” E. granulosus sensu stricto (G1–G3 genotypes), E. ortleppi (G5), and the E. canadensis group (usually considered G6, G7, G8, and G10). Research on the epidemiology and diversity of these genotypes is ongoing, and no consensus has been reached on appropriate nomenclature thus far.
Life Cycle
Cystic Echinococcosis (Echinococcus granulosus sensu lato)
The adult Echinococcus granulosus (sensu lato) (2—7 mm long)
resides in the small intestine of the definitive host. Gravid proglottids release eggs
that are passed in the feces, and are immediately infectious. After ingestion by a suitable intermediate host, eggs hatch in the small intestine and release six-hooked oncospheres
that penetrate the intestinal wall and migrate through the circulatory system into various organs, especially the liver and lungs. In these organs, the oncosphere develops into a thick-walled hydatid cyst
that enlarges gradually, producing protoscolices and daughter cysts that fill the cyst interior. The definitive host becomes infected by ingesting the cyst-containing organs of the infected intermediate host. After ingestion, the protoscolices
evaginate, attach to the intestinal mucosa
, and develop into adult stages
in 32 to 80 days.
Humans are aberrant intermediate hosts, and become infected by ingesting eggs
. Oncospheres are released in the intestine
, and hydatid cysts develop in a variety of organs
. If cysts rupture, the liberated protoscolices may create secondary cysts in other sites within the body (secondary echinococcosis).
Alveolar Echinococcosis (Echinococcus multilocularis)
The adult Echinococcus multilocularis (1.2—4.5 mm long)
resides in the small intestine of the definitive host. Gravid proglottids release eggs
that are passed in the feces, and are immediately infectious. After ingestion by a suitable intermediate host, eggs hatch in the small intestine and releases a six-hooked oncosphere
that penetrates the intestinal wall and migrates through the circulatory system into various organs (primarily the liver for E. multilocularis). The oncosphere develops into a multi-chambered (“multilocular”), thin-walled (alveolar) hydatid cyst
that proliferates by successive outward budding. Numerous protoscolices develop within these cysts. The definitive host becomes infected by ingesting the cyst-containing organs of the infected intermediate host. After ingestion, the protoscolices
evaginate, attach to the intestinal mucosa
, and develop into adult stages
in 32 to 80 days.
Humans are aberrant intermediate hosts, and become infected by ingesting eggs
. Oncospheres
are released in the intestine and cysts develop within in the liver
. Metastasis or dissemination to other organs (e.g., lungs, brain, heart, bone) may occur if protoscolices are released from cysts, sometimes called “secondary echinococcosis.”
Neotropical Echinococcosis (Echinococcus vogeli, E. oligarthrus)
The Neotropical agents follow the same life cycle although with differences in hosts, morphology, and cyst structure. Adults of E. vogeli reach up to 5.6 mm long, and E. oligarthrus up to 2.9 mm. Cysts are generally similar to those found in cystic echinocccosis but are multi-chambered.
Hosts
Echinococcus granulosus definitive hosts are wild and domestic canids. Natural intermediate hosts depend on genotype. Intermediate hosts for zoonotic species/genotypes are usually ungulates, including sheep and goats (E. granulosus sensu stricto), cattle (“E. ortleppi”/G5), camels (“E. canadensis”/G6), and cervids (“E. canadensis”/G8, G10).
For E. multilocularis, foxes, particularly red foxes (Vulpes vulpes), are the primary definitive host species. Other canids including domestic dogs, wolves, and raccoon dogs (Nyctereutes procyonoides) are also competent definitive hosts. Many rodents can serve as intermediate hosts, but members of the subfamily Arvicolinae (voles, lemmings, and related rodents) are the most typical.
The natural definitive host of E. vogeli is the bush dog (Speothos venaticus), and possibly domestic dogs. Pacas (Cuniculus paca) and agoutis (Dasyprocta spp.) are known intermediate hosts. E. oligarthrus uses wild neotropical felids (e.g. ocelots, puma, jaguarundi) as definitive hosts, and a broader variety of rodents and lagomorphs as intermediate hosts.
Geographic Distribution
Echinococcus granulosus sensu lato occurs practically worldwide, and more frequently in rural, grazing areas where dogs ingest organs from infected animals. The geographic distribution of individual E. granulosus genotypes is variable and an area of ongoing research. The lack of accurate case reporting and genotyping currently prevents any precise mapping of the true epidemiologic picture. However, genotypes G1 and G3 (associated with sheep) are the most commonly reported at present and broadly distributed. In North America, Echinococcus granulosus is rarely reported in Canada and Alaska, and a few human cases have also been reported in Arizona and New Mexico in sheep-raising areas. In the United States, most infections are diagnosed in immigrants from counties where cystic echinococcosis is endemic. Some genotypes designated “E. canadensis” occur broadly across Eurasia, the Middle East, Africa, North and South America (G6, G7) while some others seem to have a northern holarctic distribution (G8, G10).
E. multilocularis occurs in the northern hemisphere, including central and northern Europe, Central Asia, northern Russia, northern Japan, north-central United States, northwestern Alaska, and northwestern Canada. In North America, Echinococcus multilocularis is found primarily in the north-central region as well as Alaska and Canada. Rare human cases have been reported in Alaska, the province of Manitoba, and Minnesota. Only a single autochthonous case in the United States (Minnesota) has been confirmed.
E. vogeli and E. oligarthrus occur in Central and South America.
Clinical Presentation
Echinococcus granulosus infections often remain asymptomatic for years before the cysts grow large enough to cause symptoms in the affected organs. The rate at which symptoms appear typically depends on the location of the cyst. Hepatic and pulmonary signs/symptoms are the most common clinical manifestations, as these are the most common sites for cysts to develop In addition to the liver and lungs, other organs (spleen, kidneys, heart, bone, and central nervous system, including the brain and eyes) can also be involved, with resulting symptoms. Rupture of the cysts can produce a host reaction manifesting as fever, urticaria, eosinophilia, and potentially anaphylactic shock; rupture of the cyst may also lead to cyst dissemination.
Echinococcus multilocularis affects the liver as a slow growing, destructive tumor, often with abdominal pain and biliary obstruction being the only manifestations evident in early infection. This may be misdiagnosed as liver cancer. Rarely, metastatic lesions into the lungs, spleen, and brain occur. Untreated infections have a high fatality rate.
Echinococcus vogeli affects mainly the liver, where it acts as a slow growing tumor; secondary cystic development is common. Too few cases of E. oligarthrus have been reported for characterization of its clinical presentation.
Echinococcus granulosus in tissue.
Upon ingestion of eggs by the human host, the oncospheres migrate from the intestinal lumen to other body sites via circulation and develop into hydatid cysts. These cysts can be found in any part of the body, but are most common in the liver, lung and central nervous system.
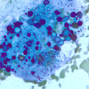
Echinococcus sp. from a liver cyst, stained with Papanicolaou (PAP) stain.
Echinococcus multilocularis in tissue.
Echinococcus multilocularis is the second most common cause of echinococcosis in humans. The definitive hosts for E. multilocularis are also canids, but more commonly foxes than domestic dogs. Arvicoline rodents (voles and related species) also play an important role in the natural life cycle as intermediate hosts.
Echinococcus spp. adults.
As dogs and other canids are the definitive hosts for most Echinococcus spp. (apart from felids for E. oligarthrus), adult Echinococcus parasites are not expected to be found in the human host. Adults range from 1.2 to 7 mm in length (depending on species) and usually consist of a scolex and usually no more than six proglottids. The terminal proglottid is gravid and is longer than wide. The scolex contains four suckers and a rostellum with 25 to 50 hooks.
Diagnostic Findings
The diagnosis of echinococcosis relies mainly on findings by ultrasonography and/or other imaging techniques supported by positive serologic tests. In seronegative patients with hepatic image findings compatible with echinococcosis, ultrasound guided fine needle biopsy may be useful for confirmation of diagnosis. During such procedures precautions must be taken to control allergic reactions or prevent secondary recurrence in the event of leakage of hydatid fluid or protoscolices.
Antibody Detection
Immunodiagnostic tests can be very helpful in the diagnosis of echinococcal disease, particularly in conjunction with imaging, and should be used before invasive methods. However, the clinician must have some knowledge of the characteristics of the available tests and the patient and parasite factors in order to interpret assay results. False-positive reactions may occur in persons with other cestode infections, some other helminth infections, cancer, and liver cirrhosis. Negative test results do not rule out echinococcosis because some cyst carriers do not have detectable antibodies. Whether the patient has detectable antibodies depends on the physical location, integrity, and vitality of the larval cyst.
Cystic echinococcal disease (Echinococcus granulosus).
Indirect hemagglutination (IHA), indirect fluorescent antibody (IFA) tests, and enzyme immunoassays (EIA) are sensitive tests for detecting antibodies in serum of patients with cystic disease; sensitivity rates vary from 60% to 90%, depending on the characteristics of the cases and antigens used. At present, the best available serologic diagnosis is obtained by using combinations of tests. EIA or IHA can be used for screening; positive reactions should be confirmed by immunoblot assay. As some tests may cross-react with sera from persons with cysticercosis, clinical and epidemiological information should also be used to support diagnosis. A commercial EIA kit is available in the United States.
Alveolar echinococcal disease (Echinococcus multilocularis).
Most patients with alveolar disease have detectable antibodies. Immunoaffinity-purified E. multilocularis antigens (Em2) used in EIA allow the detection of positive antibody reactions in more than 95% of alveolar cases. Comparing serologic reactivity to Em2 antigen with that to antigens containing components of both E. multilocularis and E. granulosus permits discrimination of patients with alveolar from those with cystic disease. Combining two purified E. multilocularis antigens (Em2 and recombinant antigen II/3-10) in a single immunoassay improves sensitivity and specificity. These antigens are included in commercial EIA kit in Europe, but are not available in the United States. Em2 tests are more useful for postoperative follow-up than for monitoring the effectiveness of chemotherapy. Em18-ELISA is considered suitable for monitoring treatment efficacy in AE patients.
Polycystic echinococcosis (Echinococcus vogeli)
The serologic diagnosis of polycystic echinococcosis has not been extensively studied as infections with E. vogeli are very rare. One antigen has been described (Ev2) that distinguishes E. vogeli from E. granulosus but not E. multilocularis.
Laboratory Safety
Standard protocols for the processing of histological sections and serum apply. Infectious eggs are not encountered in a clinical diagnostic laboratory setting.
Suggested Reading
Kern, P., da Silva, A.M., Akhan, O., Müllhaupt, B., Vizcaychipi, K.A., Budke, C. and Vuitton, D.A., 2017. The echinococcoses: diagnosis, clinical management and burden of disease. In Advances in parasitology (Vol. 96, pp. 259–369). Academic Press.
Siles-Lucas, M., Casulli, A., Conraths, F.J. and Müller, N., 2017. Laboratory diagnosis of Echinococcus spp. in human patients and infected animals. In Advances in Parasitology (Vol. 96, pp. 159–257). Academic Press
Vuitton, D.A., Demonmerot, F., Knapp, J., Richou, C., Grenouillet, F., Chauchet, A., Vuitton, L., Bresson-Hadni, S. and Millon, L., 2015. Clinical epidemiology of human AE in Europe. Veterinary parasitology, 213(3–4), pp.110–120.
Rojas, C.A.A., Romig, T. and Lightowlers, M.W., 2014. Echinococcus granulosus sensu lato genotypes infecting humans–review of current knowledge. International Journal for Parasitology, 44(1), pp.9–18.
Brunetti, E., Kern, P., Vuitton, D.A., and the Writing Panel for the WHO-IWGE, 2010. Expert consensus for the diagnosis and treatment of cystic and alveolar echinococcosis in humans. Acta Tropica, 114(1), pp. 1–16.
D’Alessandro, A. and Rausch, R.L., 2008. New aspects of neotropical polycystic (Echinococcus vogeli) and unicystic (Echinococcus oligarthrus) echinococcosis. Clinical Microbiology Reviews, 21(2), pp.380-401.
Pawlowski, Z.S., Eckert, J., Vuitton, D. A., Ammann, R. W., Kern, P., Craig, P. S., Dar, K. F., De Rosa, F., Filice, C., Gottstein, B., Grimm, F., Macpherson, C. N. L., Sato, N., Todorov, T., Uchino, J., von Sinner, W., and Wen, H., 2001. Echinococcosis in humans: clinical aspects, diagnosis and treatment. In WHO/OIE Manual on Echinococcosis in Humans and Animals: a Public Health Problem of Global Concern (pp. 20 –72). World Health Organization for Animal Health
DPDx is an educational resource designed for health professionals and laboratory scientists. For an overview including prevention, control, and treatment visit www.cdc.gov/parasites/.

