Become a NIOSH-Certified B Reader
Updated July 8, 2025

October 2018
DHHS (NIOSH) Publication Number 2019-111
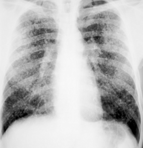
A B Reader is a physician certified by the National Institute for Occupational Safety and Health (NIOSH) as demonstrating proficiency in classifying radiographs of the pneumoconioses.

Why is becoming a B Reader important?
- B Readers participate in medical surveillance programs that utilize chest radiographs for the early detection of pneumoconiosis in dust exposed workers. This provides an opportunity for early interventions to minimize the chance of disease progression.
- B Readers’ standardized assessments of chest radiographs are used in public health agencies to track the population burden of pneumoconiosis and in various administrative, legal, and compensation settings.
- B Readers are provided the opportunity to learn the International Labour Office (ILO) International Classification of Radiographs of Pneumoconioses classification system, the most widely used standardized procedure to document radiographic findings found in pneumoconiosis.
- B Readers get certified by an examination documenting their ability to use the ILO classification system to evaluate (classify) chest radiographs.
- B Readers play an important role in providing medical surveillance for workers with occupational exposures to respirable mineral dusts such as coal mine dust, asbestos, and crystalline silica. Recently implemented Occupational Safety and Health Administration regulations have increased the need for services provided by B Readers.
NIOSH anticipates that the need for physicians able to perform ILO classifications of chest radiographs will continue to increase and encourages radiologists, chest physicians, occupational medicine physicians and other interested physicians to consider becoming B Readers.
Learn more about the NIOSH B Reader Program and how to become a B Reader. You can also call 1-888-480-4042 or email CWHSP@cdc.gov
Become a NIOSH-Certified B Reader
Suggested Citation
NIOSH [2018]. Become a NIOSH-Certified B Reader. By Martin M, Cohen B, Weissman D, Halldin C, Storey E, Wolfe A. Morgantown, WV: U.S. Department of Health and Human Services, Centers for Disease Control and Prevention, National Institute for Occupational Safety and Health, DHHS (NIOSH) Publication No. 2019-111, https://doi.org/10.26616/NIOSHPUB2019111
