Organ Transplants in Patients with Chronic Chagas Disease
Heart transplant recipients with chronic Chagas cardiomyopathy have outcomes as good as those receiving transplantation for end-stage cardiomyopathy from other etiologies.
In addition to fever and myocarditis, reactivation disease in transplant patients often causes skin lesions.
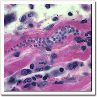
The diagnosis of reactivation may also be made when amastigotes are seen in an endomyocardial biopsy of the new heart.
Reactivation should be considered in the differential diagnosis of febrile episodes and apparent rejection crises.
The amastigote form of T. cruzi in a hematoxylin and eosin stained slide of heart muscle tissue. Source: CDC DPDx


