Progression of Chagas Cardiomyopathy
Later manifestations of Chagas cardiomyopathy may include:
- Complex ventricular extrasystoles
- Non-sustained and sustained ventricular tachycardia
- Sinus node dysfunction with severe sinus bradycardia
- High degree atrioventricular blocks
- Apical aneurysm
- Pulmonary and systemic thromboembolic phenomena
Pulmonary and systemic emboli may occur due to thrombus in the dilated ventricle or aneurysm

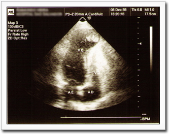
Echocardiogram findings in patients series demonstrate aneurysms in 8.5% to 55% of patients, with higher prevalence when the series includes patients with advanced disease. Thrombus formation (as seen in this echocardiogram) is common and can lead to emboli and strokes. Photo courtesy Dr. Anis Rassi Jr.


